欢迎登陆载基生物官网!
病理检测

182 5914 9342

fz_zolgene@163.com

特殊染色
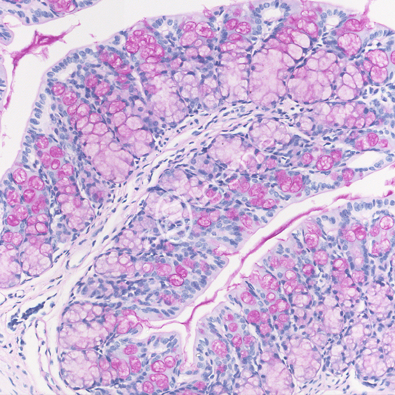
PAS糖原染色
周期:.
规格:片
货号:PR-004183
单位:.
价格:询价
品牌:行一生物

 服务介绍
      
PAS糖原染色实验原理是利用过碘酸氧化糖类物质中的1,2-乙二醇基,使之变为二醛,然后与Schiff试剂结合形成紫红色的品红化合物,从而显色。PAS糖原染色实验是通过特殊的化学反应使细胞和组织中的糖原与染料结合,形成紫红色或洋红色的颜色,从而可视化糖原的分布和定量。PAS染色又称过碘酸雪夫染色,糖原染色。一般用来显示糖元和其它多糖物质。实验原理:糖原染色是病理学中常规的染色方法之一,氧化剂能氧化糖类及有关物质中的1,2-乙二醇基,使之变为二醛,醛与Schiff试剂能结合成一种品红化合物,产生紫红色。PAS技术常用来显示糖原和其他多糖,该染色液不仅能够显示糖原,还能显示中性黏液性物质和某些酸性物质,以及软骨、垂体、霉菌、真菌、色素、淀粉样物质、基底膜等。

 实验仪器与试剂

 实验步骤

1.石蜡切片脱蜡至水:依次将切片放入二甲苯Ⅰ5min-二甲苯Ⅱ5min-二甲苯III5min-无水乙醇Ⅰ5min-无水乙醇Ⅱ5min-95%酒精3min-85%酒精3min-75%酒精3min-65酒精3min%,自来水洗3min。
2.切片入PAS染色液B中染色10-15min,自来水洗,蒸馏水洗两遍;
3.切片入PAS染色液A浸染25-30min,避光,流水冲洗5min;
4.切片入PAS染色液C染30S,自来水洗,盐酸水溶液分化,自来水洗,氨水返蓝,流水冲洗。
5.脱水透明封片:将切片依次放入65%乙醇1min-75%乙醇1min-85%乙醇1min-95%乙醇-无水乙醇1min-二甲苯Ⅰ5min中脱水透明,将切片从二甲苯拿出来稍晾干,中性树胶封片。
6.显微镜镜检:图像采集分析。

   详情可加微信联系↓
    
收货信息 x
  • 收货人

    *
  • 单位

    *
  • 省区

    *
  • 详细地址

    *
  • 联系电话

    *
  • 备注

  • 服务时间:24小时热线
    客服热线:182 5914 9342
    联系我们
    zolgene.Biotechnology Co., Ltd
    地址:福建省福州市仓山区金洲北路
              33号瑞科产业园8号楼102室
    客服热线:182 5914 9342

    载基生物
    专注生物医学科研服务

    © 2010-2023 福州载基生物科技有限公司 版权所有,并保留所有权利。 金山瑞科产业园 Tel: 182 5914 9342
    ICP备案证书号:闽ICP备20001537号-1
     
    +454319758
    售后咨询热线
    18259149342